Skip to content
OCALA | (352) 732-5111
CRYSTAL RIVER | (352) 795-6262
DOWNLOAD FORMS
TOP MENU
Linkedin page opens in new window
Facebook page opens in new window
Instagram page opens in new window
Mail page opens in new window
Search:
Reed Orthodontics
Juddson R. Reed, DMD, MS
Home
About Us
Meet Dr. Reed
Insurance & Financial
Privacy Policy
Our Testimonials
Orthodontic Treatment
Types of Retainers
Ways to Move Teeth
Before & After Photos
Download Patient Forms
Latest News
Contact Us
Home
About Us
Meet Dr. Reed
Insurance & Financial
Privacy Policy
Our Testimonials
Orthodontic Treatment
Types of Retainers
Ways to Move Teeth
Before & After Photos
Download Patient Forms
Latest News
Contact Us
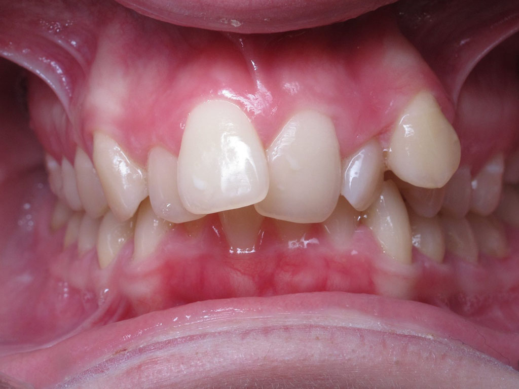
Before & After Orthodontic Photos
View Our Before & After Shots!
Check out the before and after photos below of some if our former patients. Mouse over each image to see full results. Contact us today for a free consultation!
CONTACT US TODAY!
Go to Top